Distal radius kırığı, bileğin en yaygın kırıklarından biridir ve genellikle düşme gibi travmalar sonucu meydana gelir. Radius kemiği, kolun alt kısmındaki büyük kemiklerden biridir ve bileği destekler. Distal radius, bu kemiğin bileğe yakın olan kısmıdır. Bu kırık, yaşlı bireylerde daha yaygın olsa da, gençlerde de spor yaralanmaları veya kazalar sonucunda görülebilir.
Bu yazıda, distal radius kırıklarının nedenleri, belirtileri, tedavi yöntemleri ve iyileşme süreci hakkında kapsamlı bilgiler bulabilirsiniz.

Distal radius kırığı, ön kolun başparmak tarafındaki kemiği olan radiusun, bileğe yakın kısmında meydana gelen kırıklardır. Genellikle elin üzerine düşme sonucu oluşur ve oldukça yaygındır.
Bu tür kırıkların en yaygın nedenleri şunlardır:
Distal radius kırığının yaygın belirtileri şunlardır:
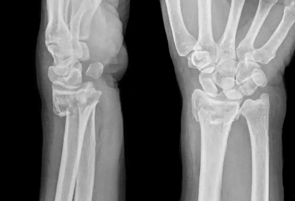
Doktor, fizik muayene yaparak ve şu tetkikleri kullanarak kırığı tespit edebilir:
Distal radius kırığının tedavi edilmesi, kırığın türüne ve şiddetine göre değişir. Hafif kırıklarda basit tedavi yöntemleri uygulanabilirken, daha ciddi kırıklarda cerrahi müdahale gerekebilir.
Hafif kırıklarda veya kaynaması düzgün olan kırıklarda cerrahi müdahale gerekmez. Bu durumlarda tedavi yöntemleri şunlardır:
Ciddi kırıklarda, özellikle kemik parçalanmış veya yerinden kaymışsa, cerrahi müdahale gerekebilir. Cerrahi tedavi seçenekleri şunlardır:
Ameliyat sonrası iyileşme sürecinde, fiziksel terapi önemli bir rol oynar. Fiziksel terapi, bileğin hareket kabiliyetini geri kazandırmak, kasları güçlendirmek ve eklem esnekliğini artırmak için yapılır. Terapist, uygun egzersizler ve manuel tedavi yöntemleri ile tedavi sürecini destekler.
Distal radius kırığının iyileşme süresi, kırığın türüne ve tedavi yöntemine bağlı olarak değişir. Hafif kırıklarda, alçı ve dinlenme süresi 4-6 hafta arasında olabilir. Cerrahi tedavi gerektiren durumlarda, iyileşme süreci daha uzun olabilir ve 6-12 hafta arasında değişebilir.
İyileşme sürecinde, fiziksel terapi uygulamaları ve doktor kontrolleri çok önemlidir. Kemiğin tamamen iyileşmesi ve eski fonksiyonlarına kavuşması zaman alabilir, bu yüzden sabırlı olmak ve tedaviye sadık kalmak gerekir.
Burmec Bursa
Kısa sürede yanıt veriyor.
Merhaba, size nasıl yardımcı olabiliriz?
Whatsapp'tan Ulaşın
🟢 Çevrimiçi | Burmec Bursa